IIcの発見
NBIで発見したIIc

当院で発見、治療された陥凹型腫瘍の内視鏡像。
色素を撒布したことにより、病変は明瞭となる。
色素撒布前の通常観察像での発見は困難である。
わずかな粘膜の色調変化でとらえていた、
まさに院長の職人技とも言える診断方法であった。
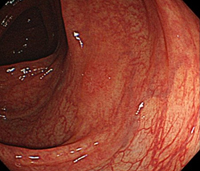
ハイビジョン式拡大内視鏡を使用したNBI観察によるIIcの発見
-

A:NBIで発見された陥凹型腫瘍。
-

B:同部位の通常観察像。通常観察では発見困難である。
-

C:色素撒布像によって病変が明瞭化する。
-

D:ピオクタニン染色下拡大観察像で、内視鏡切除可能と判断。
-

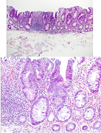
内視鏡で完全に切除された病変の組織像。
癌であるが、きわめて初期の癌であり、転移することはないため、この内視鏡治療で完治。